Cause Medium With Both Sidebar

Donate Now

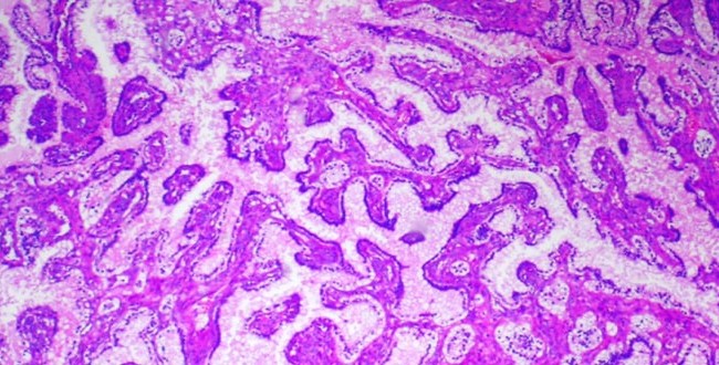
Carcinoma papilar renal de células claras

Autores: Dr. Boris Elsner, Centro de Patología, C.A.B.A. Reseña: El carcinoma papilar renal de células claras (CPRCC) forma parte del grupo de tumores renales que han sido...
Leer Más
Donate Now

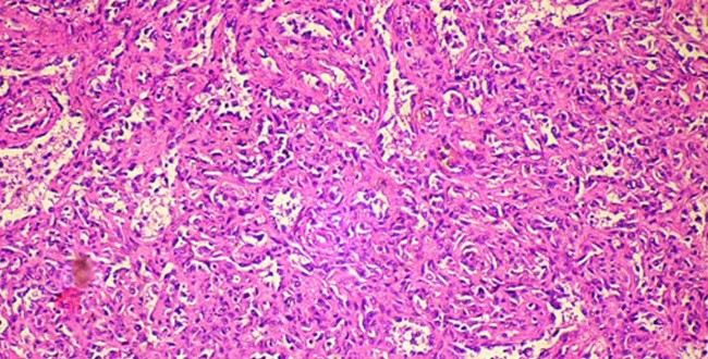
Carcinoma anaplásico de tiroides, originado en un carcinoma de células de Hurtle

Autores: Dr. Lucas Moretti, Dr. Boris Elsner. Centro de Patología. C.A.B.A Reseña: Paciente de sexo femenino de 82 años, que consulta por bocio de crecimiento progresivo,...
Leer Más
Donate Now

Angioma esplénico de células litorales

Autores: Dra. Alvarez, C.; Dra. Teresa Castiglioni. El angioma de células litorales es una proliferación  vascular benigna del bazo con rasgos histopatológicos característicos, descrita por...
Leer Más