Cause Medium With Both Sidebar

Donate Now

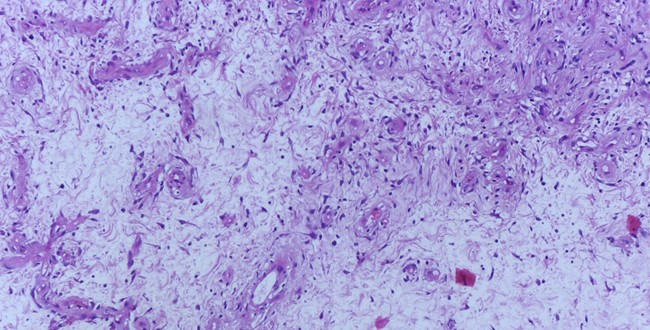
Tumor Adenomatoide Intratesticular

Autores: Dra. Maria Florencia Mora, Dra. Mariana Isola Reseña: Los tumores adenomatoides son neoplasias benignas poco frecuentes de origen mesotelial localizadas en el tracto genital tanto...
Leer Más
Donate Now

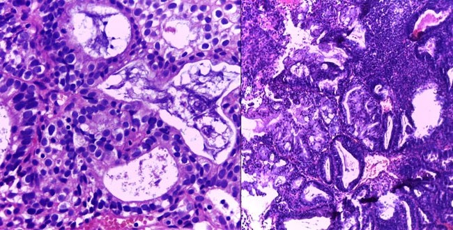
Carcinoma seroso intraepitelial tubario

Autores: Paradeda, Maria Eugenia y Garcia Kamermann, Florencia Agustina. Centro de Patologia. Referencias bibliográficas: 1). Goldhirsch A, Winer E. P., Coates A. S., Gelber R....
Leer Más
Donate Now

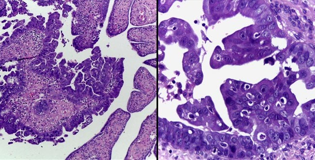
Carcinoma desdiferenciado de endometrio

Autores: Chila Laura; García Kamermann Florencia; Castiglioni Teresa. Centro de patología. El carcinoma desdiferenciado de endometrio es una neoplasia epitelial maligna, poco frecuente, descripta por...
Leer Más
Donate Now

Angiomiofibroblastoma de vulva

Autores: Dra. Demellis Gabriela, Dra. García Kamermann Florencia. Dpto. de Patología del Hospital de Clínicas «José de San Martín» Centro de Patología C.A.B.A Reseña: El angiomiofibroblastoma  es...
Leer Más
Donate Now

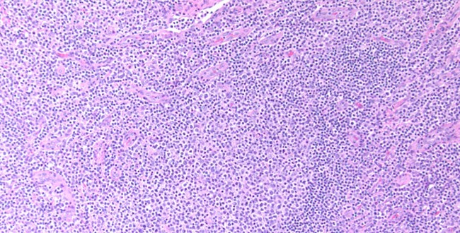
Linfoma folicular plasmocitoide

Autores: Dra. Dana Kohan, Dr. Boris Elsner, Centro de Patología, CABA. Reseña: Mujer de 51 años con múltiples adenopatías. Se estudia ganglio inguinal, con arquitectura folicular, presentando ...
Leer Más