
You are donating to : Caso de autopsia: Enfermedad de Parkinson
Autores: Dr. Gustavo Garavaglia, Dra. María Sol Serrano. Servicio de Anatomía Patológica de la Unidad Asistencial Por + Salud Dr. Cesar Milstein.
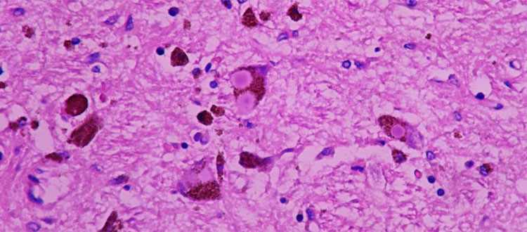
Reseña: La enfermedad de Parkinson es un trastorno neurodegenerativo, incluido actualmente dentro de las α-sinucleopatias. La primera descripción clínica de la enfermedad como un trastorno neurológico fue realizada en por James Parkinson en 1817. Posteriormente en 1872 Jean Martin Charcot introduce su actual denominación y completo la descripción del cuadro clínico. Las características anatomopatológicas fueron inicialmente descriptas por Friedrich Lewy en 1913 y por KonstantinTrétiakoff en 1919. Joseph Greenfield en 1953 define finalmente los criterios neuropatológicos de este trastorno y lo considera una enfermedad neurodegenerativa.
Diagnóstico: Presentamos un caso de autopsia, de una paciente de sexo femenino de 68 años, con diagnostico presuntivo de demencia rápidamente progresiva secundaria a vasculitis primaria del SNC. Como consecuencia del tratamiento inmunosupresor la paciente termina con un cuadro séptico y fallece. Durante el examen de autopsia identificamos signos de disfunción multiorgánicasecundario a shock séptico polimicrobiano. Hallamos múltiples infartos lacunares en hipocampo, ganglios de la base, tálamo y protuberancia e identificamos signos neuropatológicos de enfermedad de Parkinson, cuyas características clínicas se superpusieron con el cuadro de la paciente.
Referencias:
- Love S et al. Greenfield’s Neuropathology 9ª ed 2015; 741-755
- Dickson DW et al. Neuropathological assessment of Parkinson’s disease: refining the diagnostic criteria. Lancet Neurol 2009; 8:1150–1157.
- Przedborski S. The two-century journey of Parkinson disease research. Nat Rev Neurosci. 2017 Mar 17; 18(4):251-259.